Concept
Products
UPPER EXTREMITIES
Cascella
Clavicle
Tamina
Proximal Humerus
Lorraine
Distal Humerus
Leporello
Olecranon
Salgina
Distal Radius
Dalvazza
Distal Ulna
Trift
1/3 Tubular Plate
Sitter
Versatile Plate
LOWER EXTREMITIES
Poya
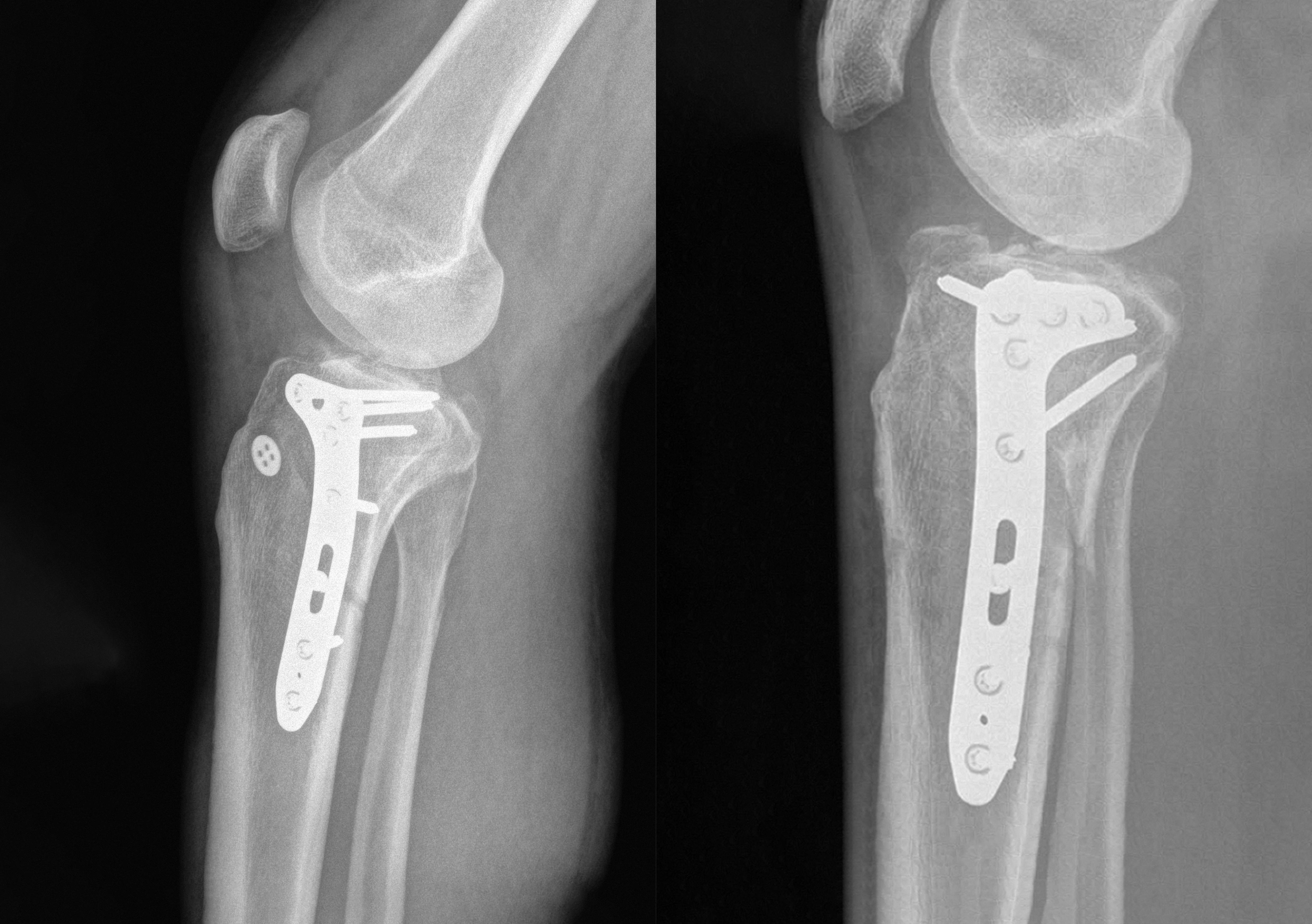
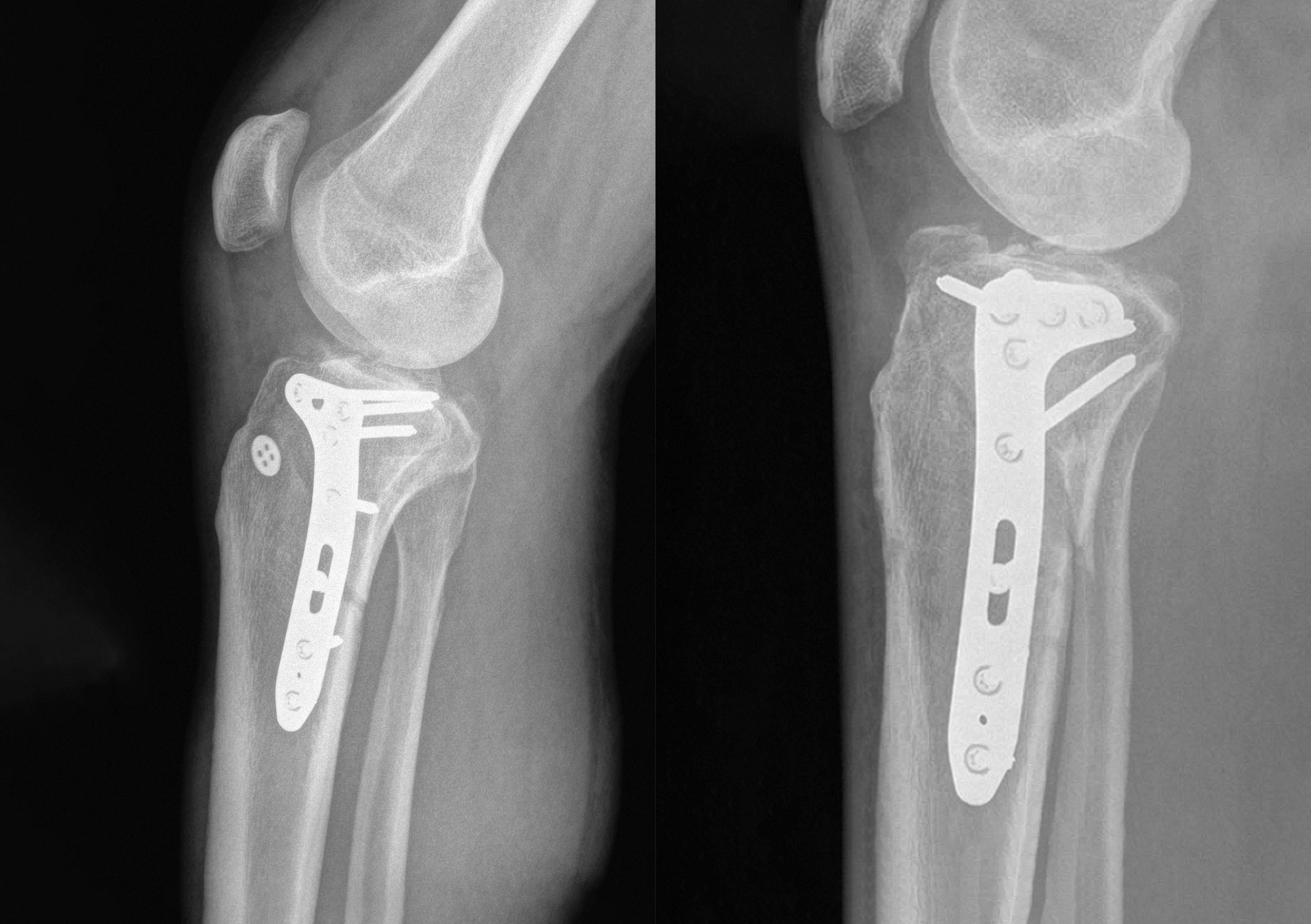
Proximal Tibia
Salti
Distal Tibia/Fibula
Trift
1/3 Tubular Plate
Sitter
Versatile Plate
UPPER EXTREMITIES
Cascella
Clavicle
Tamina
Proximal Humerus
Lorraine
Distal Humerus
Leporello
Olecranon
Salgina
Distal Radius
Dalvazza
Distal Ulna
Trift
1/3 Tubular Plate
Sitter
Versatile Plate
LOWER EXTREMITIES
Poya
Proximal Tibia
Salti
Distal Tibia/Fibula
Trift
1/3 Tubular Plate
Sitter
Versatile Plate
About
TEAM
TEAM
Downloads
Events
News
08.10.2025 / clinical cases / newsletter
→ Back To All News
POYA CLINICAL CASES: MONOTRAUMA OF THE TIBIAL PLATEAU AFTER SKIING ACCIDENTS
We present two cases featuring our POYA 3.5mm Medial Proximal Tibia Plate.